Gamze Derince
Gamze Derince Whatsapp (Online)
Natural Perfection in Aesthetics
Deutsch

de

Sprachauswahl

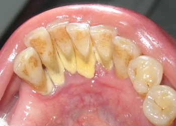
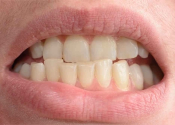
"Zahnbehandlungen" Kategorie