Zahnstein ist eines dieser zahnmedizinischen Wörter, die viele Menschen kennen, aber nur wenige wirklich hinterfragen. Im Alltag wird Zahnstein oft als hartnäckiger Belag auf den Zähnen beschrieben, doch die Geschichte dahinter ist deutlich vielschichtiger. In diesem Beitrag im Namen der Stamboul Clinic werfen wir einen ruhigen, informativen und zugleich unterhaltsamen Blick darauf, wie Zahnstein entsteht, wie er in der modernen Zahnmedizin eingeordnet wird und wie Menschen weltweit versuchen, Zahnstein von den Zähnen zu entfernen.
Anstatt Anleitungen oder Gesundheitsempfehlungen zu geben, beleuchtet dieser Text die wissenschaftlichen Hintergründe, Forschungstrends und typischen Fragen rund um Zahnstein. Wenn Sie sich jemals gefragt haben, warum Zahnstein so hartnäckig ist oder warum er häufig mit Plaque verwechselt wird, sind Sie hier genau richtig.
İçindekiler
- Was Zahnstein ist und wie er sich auf den Zähnen bildet
- Warum Zahnstein so schwer zu entfernen ist
- Häufige Missverständnisse über die Entfernung von Zahnstein
- Die Wissenschaft hinter der professionellen Zahnstein-Entfernung
- Alltägliche Gewohnheiten und ihr Zusammenhang mit Zahnstein
- Globale Perspektiven auf Zahnstein-Forschung und Wahrnehmung
- Abschließende Gedanken zu Zahnstein und seiner Entfernung

Was Zahnstein ist und wie er sich auf den Zähnen bildet
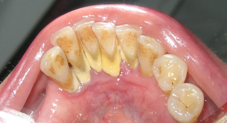
Zahnstein, in der Fachliteratur auch als dentaler Kalk oder Zahnkalk bezeichnet, beginnt seine Entstehungsgeschichte deutlich weicher. Er geht aus Plaque hervor, einem klebrigen Film aus Bakterien, Proteinen und Nahrungsresten. Wird Plaque nicht gestört, kann sie mit der Zeit mineralisieren und sich in Zahnstein verwandeln, der deutlich härter und widerstandsfähiger ist.
Besonders interessant ist dabei die Geschwindigkeit dieses Prozesses. Beobachtungen aus Studien zeigen, dass Plaque sich unter bestimmten Bedingungen bereits innerhalb von ein bis zwei Tagen verhärten kann. Sobald Plaque zu Zahnstein wird, haftet sie sehr fest an der Zahnoberfläche. Deshalb wird Zahnstein in wissenschaftlichen Texten und Erfahrungsberichten oft als zementartig beschrieben.
Ein weiterer häufig übersehener Punkt ist, dass sich Zahnstein nicht gleichmäßig bildet. Er sammelt sich bevorzugt hinter den unteren Frontzähnen und entlang des Zahnfleischrandes an, Bereiche, die durch den Speichelfluss und die Anatomie des Mundes beeinflusst werden. Diese Muster helfen Forschenden, das Auftreten von Zahnstein besser zu verstehen.
Warum Zahnstein so schwer zu entfernen ist
Wenn Menschen fragen, wie man Zahnstein entfernt, reagieren sie meist auf seine auffälligste Eigenschaft: seine Widerstandsfähigkeit. Im Gegensatz zu Plaque lässt sich Zahnstein nicht einfach abspülen oder wegputzen, sobald er verhärtet ist. Seine mineralische Struktur ähnelt der von Knochen, was seine Beständigkeit erklärt.
Wissenschaftliche Analysen zeigen außerdem, dass Zahnstein eine poröse Oberfläche besitzt. Dadurch kann er weitere Plaque und Bakterien binden und einen Kreislauf schaffen, der zusätzliche Zahnstein-Schichten begünstigt. Aus beobachtender Sicht erklärt dies, warum sich Zahnstein scheinbar immer schneller aufbaut, sobald er einmal vorhanden ist.

Ein weiterer Grund für die Schwierigkeit liegt in der Wahrnehmung. Viele Menschen bemerken Zahnstein erst, wenn er sichtbar wird oder sich rau anfühlt. Zu diesem Zeitpunkt besteht Zahnstein meist schon seit längerer Zeit, was Diskussionen über seine Entfernung komplexer macht.
Häufige Missverständnisse über die Entfernung von Zahnstein
Ein weit verbreitetes Missverständnis besteht darin, Zahnstein und Plaque gleichzusetzen. Obwohl sie zusammenhängen, sind sie nicht identisch. Plaque ist weich und vorübergehend, während Zahnstein verhärtet und dauerhaft ist. Diese Verwechslung führt oft zu unrealistischen Erwartungen an die Entfernung von Zahnstein.
Ein weiteres Missverständnis betrifft Hausmittel. In Online-Diskussionen wird häufig behauptet, dass saure oder abrasive Substanzen Zahnstein auflösen könnten. Wissenschaftliche Kommentare betonen jedoch, dass Zahnstein mineralisiert ist und sich nicht einfach „auflöst“. Diese Mythen halten sich vor allem deshalb, weil Zahnstein oft ohne den nötigen Kontext thematisiert wird.
Interessanterweise zeigen Umfragen aus der Dentalpsychologie, dass Menschen oft unterschätzen, wie lange sich Zahnstein bereits gebildet hat. Diese zeitliche Verzerrung verstärkt den Eindruck, Zahnstein sei plötzlich entstanden, was die Verwirrung über realistische Entfernungsprozesse weiter fördert.
Für eine sachliche Definition von dentalem Kalk ziehen viele Leser Quellen wie den Wikipedia-Artikel zu Zahnstein https://de.wikipedia.org/wiki/Zahnstein heran, der einen neutralen Überblick über Entstehung und Begriffe rund um Zahnstein bietet.
Die Wissenschaft hinter der professionellen Zahnstein-Entfernung
In klinischen Zusammenhängen wird die Entfernung von Zahnstein als mechanischer Prozess beschrieben. Fachliteratur spricht von speziellen Instrumenten, die entwickelt wurden, um Zahnstein von der Zahnoberfläche zu lösen, ohne den Zahnschmelz zu beeinträchtigen. Der Fokus liegt dabei auf Präzision, nicht auf Kraft.
Aus wissenschaftlicher Sicht wird die Entfernung von Zahnstein nicht nur aus ästhetischen Gründen untersucht, sondern auch wegen ihrer Bedeutung für das orale Ökosystem. Studien zeigen, dass Zahnstein das bakterielle Gleichgewicht verändert, weshalb seine Entfernung ein zentrales Thema in der mikrobiologischen Forschung ist.
Bemerkenswert ist zudem, dass Zahnstein auch in der Forensik genutzt wird. Da Zahnstein biologische Materialien konservieren kann, analysieren Forschende alte Zahnstein-Ablagerungen, um Rückschlüsse auf historische Ernährungsweisen zu ziehen. Diese unerwartete Rolle verdeutlicht, wie informationsreich Zahnstein tatsächlich ist.
Wer sich für die wissenschaftliche Perspektive der oralen Biologie interessiert, findet bei Institutionen wie dem National Institute of Dental and Craniofacial Research https://www.nidcr.nih.gov regelmäßig Forschungszusammenfassungen, in denen Zahnstein im Kontext umfassender Studien erwähnt wird.
Alltägliche Gewohnheiten und ihr Zusammenhang mit Zahnstein
Obwohl dieser Artikel keine Empfehlungen gibt, ist es sinnvoll zu betrachten, wie alltägliche Routinen in Beobachtungsstudien mit der Bildung von Zahnstein in Verbindung gebracht werden. Forschende analysieren dabei Zusammenhänge, nicht direkte Ursache-Wirkung-Beziehungen.
Beispielsweise werden Ernährungsstruktur, Speichelzusammensetzung und die Vielfalt des oralen Mikrobioms häufig im Zusammenhang mit Zahnstein untersucht. In manchen Bevölkerungsgruppen zeigt sich eine schnellere Zahnstein-Bildung aufgrund eines höheren Mineralgehalts im Speichel, unabhängig vom Lebensstil.
Ein weiterer spannender Forschungsbereich betrifft den Zeitfaktor. Studien legen nahe, dass Plaque, die über längere Zeit ungestört bleibt, eine höhere Wahrscheinlichkeit hat, sich in Zahnstein zu verwandeln. Dies erklärt, warum Zahnstein häufig mit Routinen und weniger mit einzelnen Ereignissen verknüpft wird.
Globale Perspektiven auf Zahnstein-Forschung und Wahrnehmung
Zahnstein wird kulturell unterschiedlich wahrgenommen. Anthropologische Studien zeigen, dass die Bedeutung von Zahnstein je nach Zugang zu zahnmedizinischer Aufklärung und gesellschaftlichen Normen variiert. In manchen Regionen gilt sichtbarer Zahnstein als kosmetisches Problem, in anderen wird er kaum thematisiert.
Moderne Forschungskooperationen vergleichen heute Zahnstein-Proben aus verschiedenen Bevölkerungen, um genetische und umweltbedingte Einflüsse besser zu verstehen. Ziel dieser Studien ist es, zu erklären, warum sich Zahnstein bei manchen Menschen trotz ähnlicher Bedingungen stärker bildet.
Aufklärungskampagnen konzentrieren sich zunehmend darauf, zu erklären, was Zahnstein ist, anstatt seine Auswirkungen zu dramatisieren. Dieser Ansatz spiegelt einen allgemeinen Trend hin zu informierter Neugier statt angstbasierter Kommunikation wider.
Abschließende Gedanken zu Zahnstein und seiner Entfernung
Zahnstein zu verstehen bedeutet anzuerkennen, dass es sich um mehr als ein oberflächliches Phänomen handelt. Er ist ein mineralisiertes Protokoll biologischer Aktivität, Gewohnheiten und Zeit. Diskussionen darüber, wie man Zahnstein entfernt, gewinnen an Tiefe, wenn sie wissenschaftlich fundiert und realistisch geführt werden.
Bei der Stamboul Clinic ist es Ziel solcher Inhalte, Unsicherheit durch Wissen zu ersetzen. Wer versteht, wie Zahnstein entsteht, warum er bestehen bleibt und wie er erforscht wird, entwickelt einen differenzierteren Blick auf ein Thema, das oft zu stark vereinfacht wird.
Anstatt schnelle Lösungen zu versprechen, lädt dieser Leitfaden dazu ein, Zahnstein so zu betrachten, wie Forschende es tun: als faszinierende Schnittstelle von Biologie, Chemie und Alltag.