ist ein subtiler, aber wissenschaftlich äußerst interessanter Prozess, der oft lange unbemerkt bleibt, bevor sichtbare Veränderungen im Gebiss auftreten. In der zahnmedizinischen Literatur wird die als dynamische Reaktion des Zahnhalteapparates beschrieben, die durch biologische, mechanische und umweltbedingte Faktoren beeinflusst wird. Bei der Stamboul Clinic wird dieses Phänomen nicht nur als ästhetisches Thema betrachtet, sondern als Ausdruck eines komplexen Gleichgewichts im oralen System.
Die beginnt häufig auf mikroskopischer Ebene und entwickelt sich schrittweise, ähnlich einer langsamen strukturellen Drift innerhalb eines stabilen Systems. Gerade diese Langsamkeit macht sie so schwer zu erkennen und gleichzeitig wissenschaftlich so spannend.
İçindekiler

Biologische Grundlagen und mikroskopische Bewegungen
Die entsteht zunächst durch minimale Bewegungen innerhalb des parodontalen Ligaments. Dieses Gewebe ist nicht starr, sondern reagiert kontinuierlich auf Druck, Spannung und biologische Erneuerungsprozesse. In der Fachliteratur wird Zahnverschiebung: häufig als natürlicher Anpassungsmechanismus beschrieben.
Auch der Kieferknochen ist ein lebendiges Gewebe, das sich ständig umbaut. Diese ständige Remodellierung führt dazu, dass sich selbst ohne äußere Einflüsse eine Zahnverschiebung: entwickeln kann. Die Zähne befinden sich somit in einem permanenten Zustand minimaler Bewegung.
Besonders interessant ist die Balance zwischen Stabilität und Flexibilität. Einerseits müssen Zähne Belastungen standhalten, andererseits müssen sie sich anpassen können. Genau diese Dualität macht die Zahnverschiebung: zu einem zentralen Forschungsthema in der modernen Zahnbiomechanik.
Weitere Informationen zu biologischen Grundlagen finden sich beispielsweise bei der Deutschen Gesellschaft für Zahn-, Mund- und Kieferheilkunde:
https://www.dgzmk.de
Frühe Anzeichen und subtile Hinweise
Die beginnt meist mit sehr feinen Veränderungen, die im Alltag kaum wahrgenommen werden. Ein häufig diskutiertes erstes Zeichen sind minimale Lückenveränderungen zwischen den Zähnen. Diese können sich langsam öffnen oder schließen und weisen auf eine aktive Zahnverschiebung: hin.
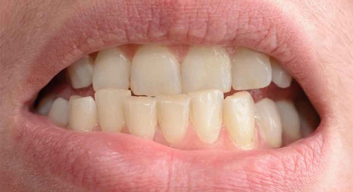
Ein weiteres frühes Signal betrifft das Bissgefühl. Viele Menschen berichten, dass sich der Kontakt zwischen Ober- und Unterkiefer leicht verändert. Diese Wahrnehmung kann ein indirekter Hinweis auf eine fortschreitende Zahnverschiebung: sein, auch wenn äußerlich noch keine deutlichen Veränderungen sichtbar sind.
Auch ungleichmäßige Abnutzungsmuster der Zahnoberflächen gehören zu den subtilen Indikatoren. Durch veränderte Kontaktpunkte entstehen neue Belastungszonen, die langfristig mit einer Zahnverschiebung: in Verbindung stehen können.
Ursachen und Einflussfaktoren
Die Ursachen der sind vielfältig und resultieren meist aus einem Zusammenspiel verschiedener Faktoren. Einer der wichtigsten Aspekte ist der natürliche Alterungsprozess. Mit der Zeit verändern sich Knochenstruktur und Gewebespannung, was eine Zahnverschiebung: begünstigen kann.
Auch mechanische Kräfte spielen eine zentrale Rolle. Kauen, Sprechen und sogar die Ruheposition der Zunge erzeugen kontinuierliche Druckimpulse im Mundraum. Diese Kräfte können über Jahre hinweg eine Zahnverschiebung: auslösen oder verstärken.

Genetische Faktoren dürfen ebenfalls nicht unterschätzt werden. Manche Menschen verfügen über eine höhere Gewebeelastizität, wodurch eine Zahnverschiebung: leichter auftreten kann als bei anderen.
Übersicht wichtiger Einflussfaktoren
Faktor | Wirkung auf Zahnverschiebung |
Alterung | strukturelle Anpassung |
mechanische Kräfte | kontinuierliche Druckveränderung |
Genetik | individuelle Stabilität |
orale Gewohnheiten | Richtungsänderung der Bewegung |
Diese Faktoren wirken selten isoliert, sondern verstärken sich gegenseitig innerhalb eines komplexen Systems der Zahnverschiebung:.
Strukturelle Veränderungen im Gebiss
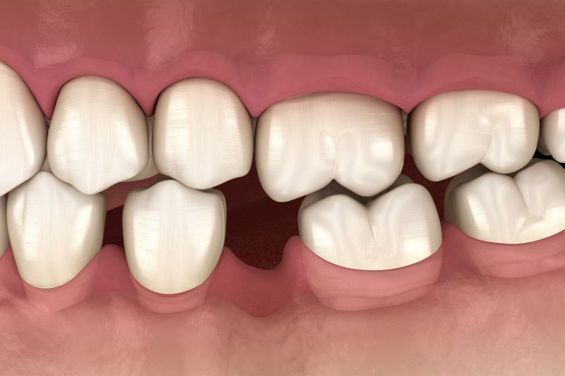
Wenn die über längere Zeit fortschreitet, kann sich die gesamte Zahnarchitektur verändern. Dabei handelt es sich nicht zwingend um eine Störung, sondern häufig um eine Anpassung an neue Gleichgewichtsbedingungen im Kiefer.
Eine mögliche Folge ist die Veränderung der Zahnbögen. Je nach Richtung der Zahnverschiebung: können sich die Abstände zwischen den Zähnen vergrößern oder verkleinern, was die Symmetrie des Lächelns beeinflusst.
Auch die Kontaktpunkte zwischen den Zähnen verändern sich. Durch die Zahnverschiebung: entstehen neue Belastungsmuster, die sich auf die gesamte Funktion des Gebisses auswirken können.
In einigen theoretischen Modellen wird sogar diskutiert, ob eine Zahnverschiebung: indirekte Auswirkungen auf das Kiefergelenk haben könnte, auch wenn diese Annahmen noch wissenschaftlich weiter untersucht werden.
Diagnostik und klinische Beobachtung
In der modernen Zahnmedizin wird die häufig durch Vergleichsdaten analysiert. Digitale Scans ermöglichen es, kleinste Positionsveränderungen präzise zu erkennen und eine Zahnverschiebung: über längere Zeiträume zu dokumentieren.
Auch fotografische Verlaufsdokumentationen spielen eine wichtige Rolle. Bei standardisierten Aufnahmen lassen sich Veränderungen der Zahnverschiebung: visuell nachvollziehen und vergleichen.
Ein weiterer Ansatz ist die Analyse von Bissregistrierungen, bei denen funktionelle Veränderungen im Zusammenspiel der Zahnreihen untersucht werden.
Häufig genutzte Methoden
- 3D-Intraoralscans zur präzisen Positionsanalyse
- Fotodokumentation über Zeiträume hinweg
- Bissanalyse zur Funktionsbewertung
- Vergleich historischer Modelle
Diese Methoden liefern gemeinsam ein umfassendes Bild der Zahnverschiebung: und ihrer Entwicklung.
Aktuelle Forschungsperspektiven
In der aktuellen Forschung wird die nicht mehr nur als mechanischer Prozess betrachtet, sondern als Ergebnis eines komplexen biologischen Systems. Muskelaktivität, neuronale Steuerung und Gewohnheiten werden zunehmend in die Analyse einbezogen.
Einige Studien deuten darauf hin, dass die Zahnverschiebung: auch durch Haltung und Muskelkoordination beeinflusst werden könnte. Diese Perspektive erweitert das klassische Verständnis erheblich.
In Einrichtungen wie der Stamboul Clinic wird die Zahnverschiebung: daher als Teil eines langfristigen dynamischen Gleichgewichts betrachtet, das weit über rein ästhetische Aspekte hinausgeht.
Mehr zu wissenschaftlichen Hintergründen findet sich auch hier:
https://www.ncbi.nlm.nih.gov
Die ist ein vielschichtiges Phänomen, das biologische, mechanische und individuelle Faktoren miteinander verbindet. Sie verläuft meist langsam und bleibt daher lange unbemerkt, obwohl sie kontinuierlich stattfindet.
Das Verständnis der Zahnverschiebung: erfordert daher einen ganzheitlichen Blick auf das orale System, bei dem nicht nur einzelne Ursachen, sondern das Zusammenspiel vieler Faktoren betrachtet wird. Genau diese Komplexität macht sie zu einem spannenden Forschungsfeld in der modernen Zahnmedizin.