Dental procedures can feel intimidating, and Tooth Cutting is no exception. Whether performed for restorative purposes, aesthetic enhancement, or preparation for crowns and veneers, this procedure plays a crucial role in modern dentistry. Understanding what happens after Tooth Cutting can help patients navigate recovery more confidently and maintain long-term oral health.

İçindekiler
- Why Tooth Cutting Is Performed and What It Involves
- Immediate Sensitivity After Tooth Cutting
- Oral Hygiene After Tooth Cutting
- Dietary Considerations Following Tooth Cutting
- Temporary Restorations and Their Importance
- Pain Perception and Healing Process
- Long-Term Care After Tooth Cutting
- Psychological and Aesthetic Considerations
Why Tooth Cutting Is Performed and What It Involves
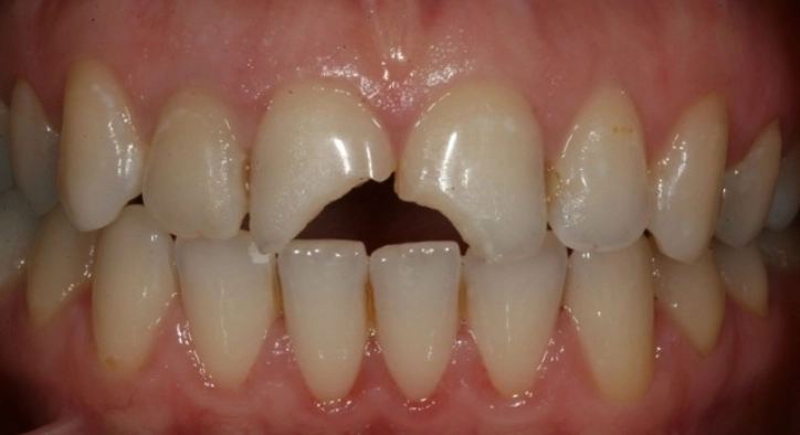
Tooth Cutting refers to the controlled removal of tooth structure using specialized dental instruments. It is typically carried out to prepare a tooth for restorative treatments such as crowns, bridges, or veneers.
From a biological perspective, enamel and dentin are reduced in a precise manner. This ensures that the final restoration fits properly without disrupting bite alignment. While enamel itself does not regenerate, the procedure is designed to preserve as much healthy structure as possible.
The process is often completed under local anesthesia, making it relatively comfortable. However, after Tooth Cutting, the tooth may temporarily lose some of its natural protection, which is why post-procedure considerations become essential.
Immediate Sensitivity After Tooth Cutting
One of the most commonly observed effects after Tooth Cutting is increased sensitivity. This occurs because the protective enamel layer has been partially reduced, exposing the underlying dentin.
Dentin contains microscopic tubules that connect to the tooth’s nerve. When exposed to hot, cold, or sweet stimuli, these tubules can transmit signals more easily, resulting in sensitivity. This is not unusual and often varies from person to person.

Interestingly, research suggests that sensitivity tends to decrease over time as temporary restorations or final prosthetics are placed. However, during the initial phase after Tooth Cutting, individuals may notice heightened reactions to temperature changes or certain foods.
Oral Hygiene After Tooth Cutting
Maintaining oral hygiene becomes even more critical after Tooth Cutting. The treated tooth may be more vulnerable to plaque accumulation, especially if a temporary crown or restoration is in place.
Brushing should continue with a soft-bristled toothbrush to avoid irritation. Gentle cleaning techniques help protect the surrounding gum tissue while keeping bacterial buildup under control.
Flossing can still be performed, but extra care is often needed around the treated area. In some cases, dentists may recommend specific hygiene routines tailored to the condition of the tooth after Tooth Cutting.
Dietary Considerations Following Tooth Cutting
After Tooth Cutting, dietary habits can influence comfort and recovery. While there is no universal restriction, certain patterns are commonly observed.
Below is a general overview:
Food Type | Suggested Approach After Tooth Cutting |
Hot and cold foods | May increase sensitivity |
Hard foods | Can stress the treated tooth |
Sugary items | May trigger discomfort |
Soft foods | Typically easier to tolerate |
Soft and moderate-temperature foods are often more comfortable during the initial period. Over time, as the tooth adapts or receives a permanent restoration, dietary flexibility usually improves.
Temporary Restorations and Their Importance
In many cases, Tooth Cutting is followed by the placement of a temporary crown or filling. This serves as a protective barrier while the permanent restoration is being prepared.
Temporary restorations are not designed for long-term durability. They may feel slightly different in shape or texture compared to natural teeth. However, they play a critical role in:
- Protecting exposed dentin
- Maintaining tooth alignment
- Preserving chewing function
- Preventing bacterial entry
Because of their temporary nature, these restorations require careful handling. Sudden pressure or biting hard objects can dislodge them more easily than permanent solutions.
Pain Perception and Healing Process
Pain after Tooth Cutting is generally mild and varies widely among individuals. Some people report minimal discomfort, while others may experience temporary soreness.
This variation can be influenced by factors such as:
- Depth of the tooth preparation
- Individual pain threshold
- Presence of pre-existing dental conditions
- Gum sensitivity
The healing process is not about tissue regeneration in the enamel, but rather about adaptation. The surrounding tissues, including gums and nerves, gradually adjust to the new structure of the tooth.
Long-Term Care After Tooth Cutting
Long-term success after Tooth Cutting depends largely on consistent care and maintenance. Once the permanent restoration is placed, the treated tooth becomes part of a functional system again.
However, it is important to recognize that the altered structure requires ongoing attention. Regular dental check-ups allow professionals to monitor the integrity of the restoration and surrounding tissues.
In addition, habits such as teeth grinding or biting hard objects can have a greater impact on a tooth that has undergone Tooth Cutting. Awareness of these behaviors can contribute to better outcomes over time.
Psychological and Aesthetic Considerations
Interestingly, Tooth Cutting is not only a physical process but also has psychological and aesthetic dimensions. Many patients undergo the procedure as part of a smile transformation.
The anticipation of improved appearance can positively influence patient perception. However, the transitional phase between tooth preparation and final restoration may feel unusual.
This adjustment period is completely normal. As the final result takes shape, patients often report increased satisfaction with both function and aesthetics.
Understanding what should be considered after Tooth Cutting provides valuable insight into both the short-term experience and long-term implications of the procedure. From sensitivity and hygiene to dietary habits and restoration care, each aspect contributes to the overall outcome.
At Stamboul Clinic, the focus extends beyond the procedure itself to include patient awareness and informed decision-making. While every individual experience may differ, being prepared for the changes that follow Tooth Cutting can make the process smoother and more predictable.